استئصال ورم ضخم على جذع المخ لمريضة أربعينية في مستشفى المواساة بالدمام

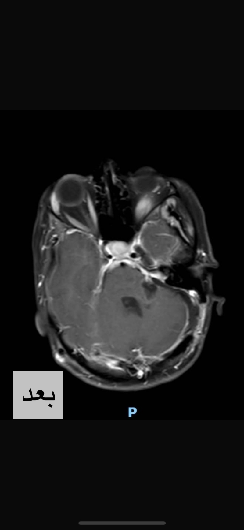
بحمدالله وتوفيقه، تمكن الفريق الطبي في مستشفى المواساة بالدمام من إجراء جراحة خطيرة ونادره لاستئصال ورم ضخم تعدى قطره ٥ سم بقاع الجمجمة بالحجرة الخلفيه للمخ.
حيث وصلت مريضه تبلغ من العمر ٤٤ عاما محوله لمستشفى المواساة بالدمام، وأكدت الفحوصات الجراحية الكاملة مزيداً من الدلائل على الحالة .
وبإشراف الدكتور عمر الفلكي، استشاري جراحة المخ و الأعصاب، و فريقه الجراحي تم إستئصال الورم بالكامل في جراحة ميكروسكوبية دقيقة استغرقت أكثر من ١٠ ساعات تم فيها استخدام جهاز الملاح الجراحي و المراقبة المستمرة للوظائف الحركية طوال فترة الجراحة .
خضعت المريضة بعدها لعلاج طبيعي مكثف و عادت الى أسرتها و لممارست حياتها بشكل طبيعي .
الجدير بالذكر أن هذا النوع من العمليات يعتمد على تقنية طبية حديثة والتي تتماشى مع رؤية شركة المواساة للخدمات الطبية في استقطاب الكفاءات والتخصصات الفرعية الدقيقة من خلال استخدام أحدث التقنيات والتجهيزات الطبية المتقدمة في هذا المجال.







