نجاح علاج مريض بتمدد شرياني دماغي في جامعي الخبر
في أول استخدام سريري لتقنية Artisse™️ بالشرقية

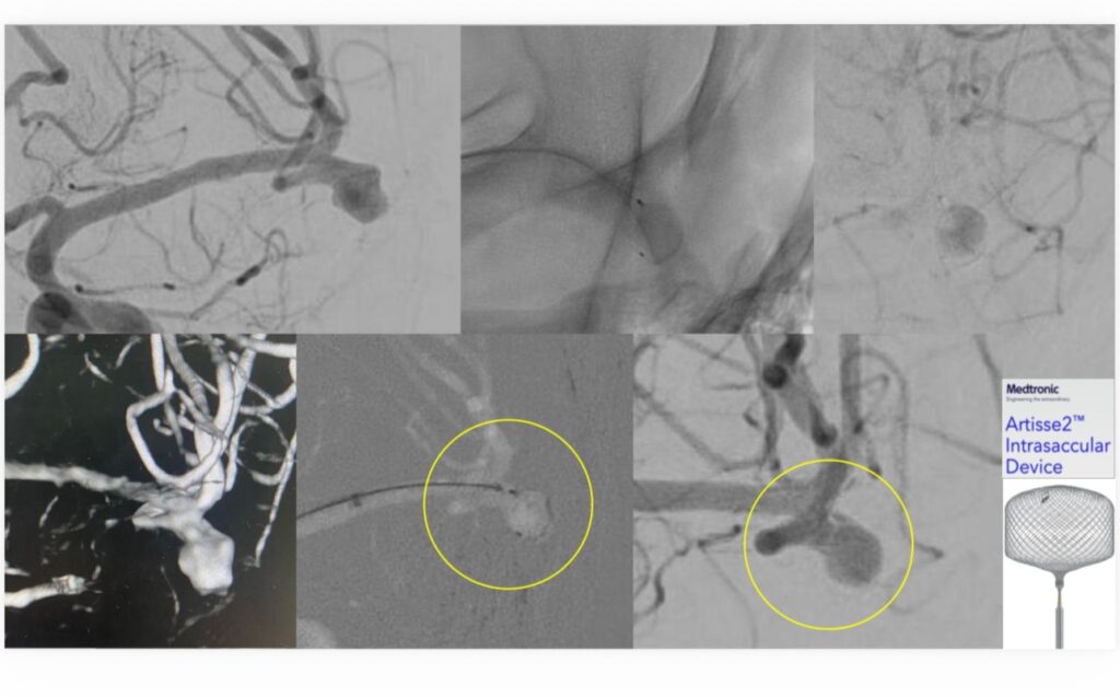
نجح فريق الأشعة العصبية التداخلية في مستشفى الملك فهد الجامعي التابع للمدينة الطبية الأكاديمية بجامعة الإمام عبدالرحمن بن فيصل، في علاج مريض يعاني من تمدد شرياني دماغي واسع العنق، وذلك في أول استخدام سريري لتقنية Artisse™️ في المنطقة الشرقية.
وتمكّن الفريق الطبي من إغلاق التمدد الشرياني بالكامل باستخدام التقنية الحديثة، وخرج المريض من المستشفى وهو بكامل عافيته ، حيث تتميز تقنية Artisse™️ بإمكانية زرع الجهاز داخل التمدد الشرياني بحيث يأخذ شكله بدقة، ما يسهم في تقليل زمن الإجراء وتقليل جرعة الأشعة والصبغة المستخدمة أثناء القسطرة، كما تتيح في كثير من الحالات تجنب استخدام مسيلات الدم بعد الإجراء، الأمر الذي يساعد في تسريع تعافي المريض وعودته إلى حياته اليومية بشكل أسرع.
ويُعد هذا الإنجاز خطوة متقدمة في مجال العلاج التداخلي لأمراض الأوعية الدموية الدماغية، التي تشمل السكتات الدماغية وتمدد الأوعية الدموية والتضيق الشرياني، وهي حالات تؤثر على تدفق الدم إلى الدماغ وقد تتسبب في أعراض مثل الصداع الشديد، والضعف المفاجئ، واضطرابات الرؤية والنطق، ما يستدعي التدخل الطبي العاجل.
وأوضح المدير التنفيذي لمستشفى الملك فهد الجامعي د. عبدالله يوسف، أن هذا الإنجاز يعكس مستوى التطور الذي يشهده المستشفى في تقديم الخدمات الصحية التخصصية، مؤكدًا أن إدخال التقنيات الطبية الحديثة في مجال الأشعة العصبية التداخلية يسهم في تعزيز جودة الرعاية الصحية المقدمة للمرضى، وتقليل المضاعفات وتسريع التعافي.
وأضاف يوسف، أن المستشفى يواصل العمل على استقطاب أحدث التقنيات الطبية وتطوير الكفاءات المتخصصة، بما يعزز من مكانته كمركز طبي أكاديمي متقدم في تقديم الرعاية الصحية التخصصية وفق أعلى المعايير العالمية.
وقد تحقق هذا الإنجاز بجهود فريق طبي متكامل ضمّ د. عبدالرحمن العبدالوهاب ود. محمد الوطبان من فريق الأشعة العصبية التداخلية، وبمشاركة د. عائشة البكر من قسم الأعصاب، ود. أحمد صلاح من قسم التخدير، ود. شايع القحطاني من قسم العناية المركزة، إضافة إلى فني القسطرة عبيد الحارثي، في إطار العمل التكاملي بين التخصصات الطبية لتقديم أفضل مستويات الرعاية الصحية للمرضى.






